
症例集
- くにさき歯科 ホーム
- 症例集
症例集
くにさき歯科で実際に治療を受けられた方の症例写真をご紹介しています。治療前後でどのように改善されるか一目でおわかりいただけますので、お口のお悩みがある方、治療を検討されている方はぜひご参考にしてください。
※症例写真について
- すべて当院で治療を完了し、掲載の許可をいただいた患者さまのものです。
- トリミング(切り抜き)などを除き、画像の修正は行なっていません。
- 治療はすべて各患者さま固有の症例に対応したものであり、ほかの方への治療結果を保証するものではありません。
ワイヤー矯正
【症例1】




主訴
前歯が出ているのが気になる
年齢・性別
20代女性
治療内容
上下左右4抜歯
期間
3年4ヶ月
費用
926,200円
インビザライン
(アライナー矯正)
【症例1】




主訴
ガタガタした前歯を矯正したい
年齢・性別
30代女性
治療内容
インビザライン
期間
1年6ヶ月
費用
880,000円
インプラント治療症例
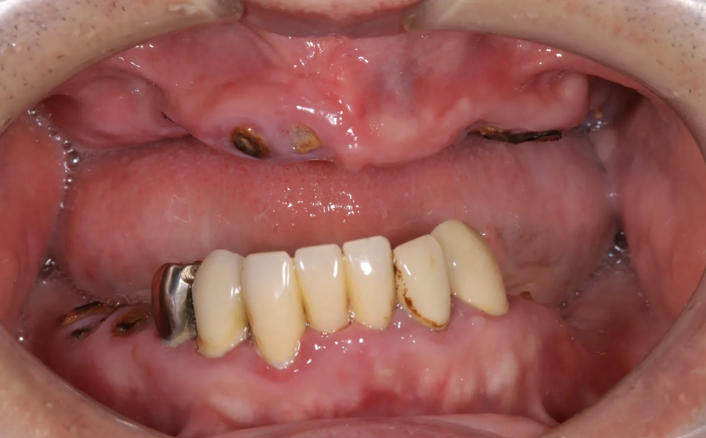
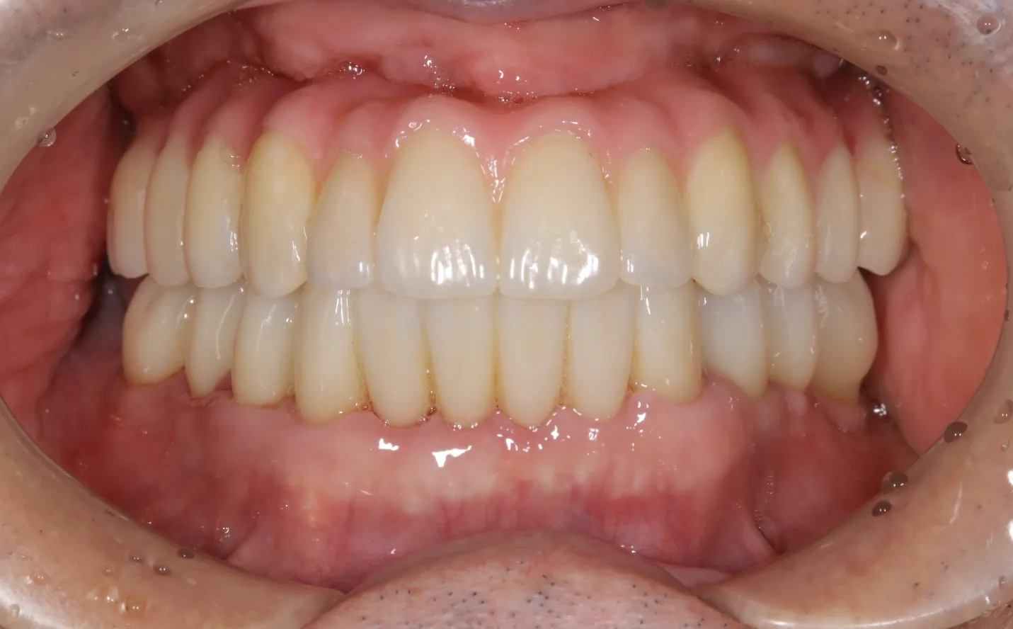
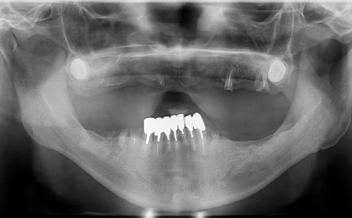
【症例1】




主訴
噛めない。不自由なく食事をしたい。
年齢・性別
50代男性
治療内容
上下顎フルインプラント
期間
1年2ヶ月
費用
7,279,000円
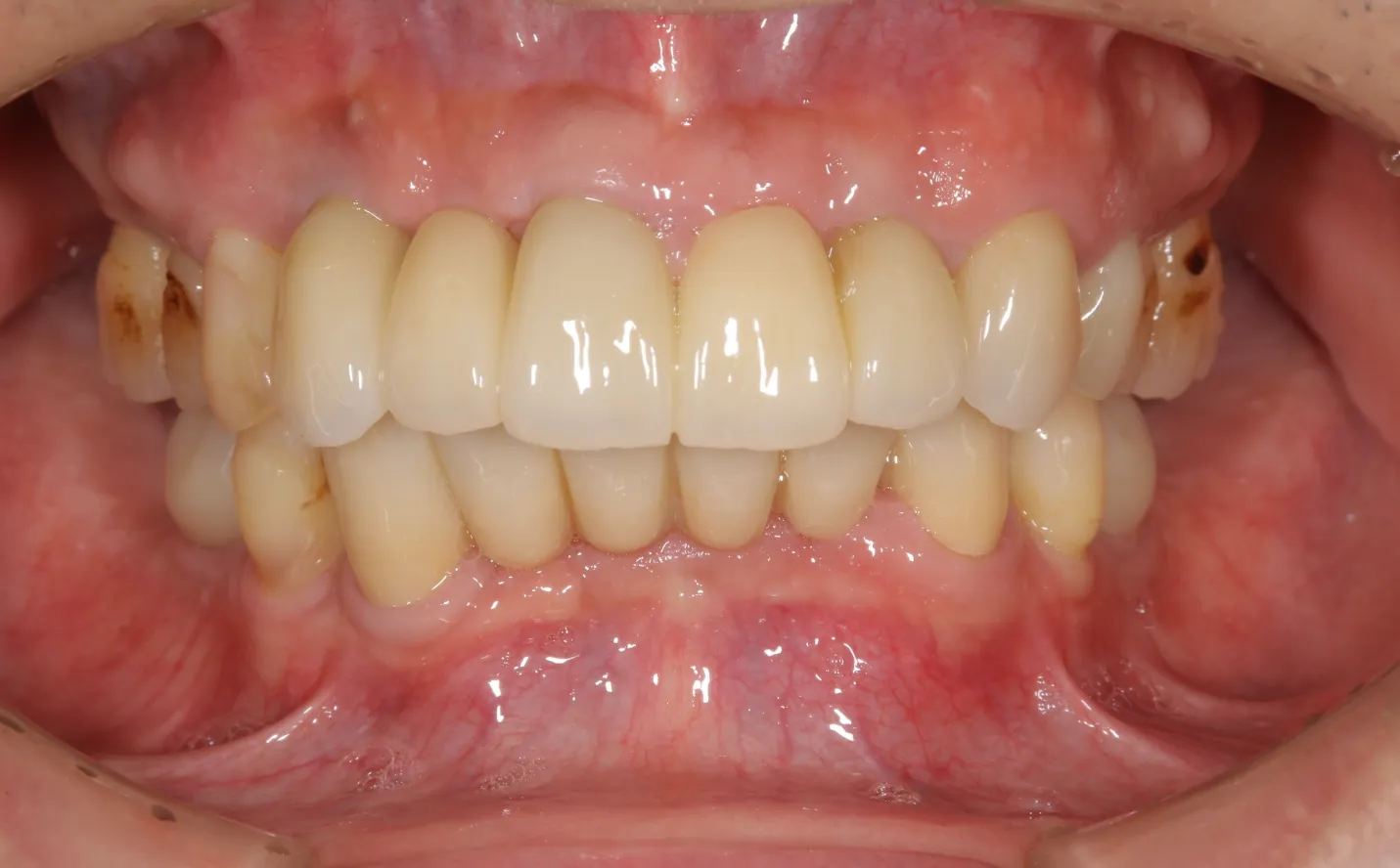
【症例2】




主訴
前歯の被せ物が外れた。綺麗に治したい。
年齢・性別
40代男性
治療内容
右上3~左上2に対して
・インプラントブリッジ
左右6に対して
・インプラント
他数本に対して
・セラミック
・インプラントブリッジ
左右6に対して
・インプラント
他数本に対して
・セラミック
期間
1年4ヶ月
費用
3,583,000円
審美治療症例
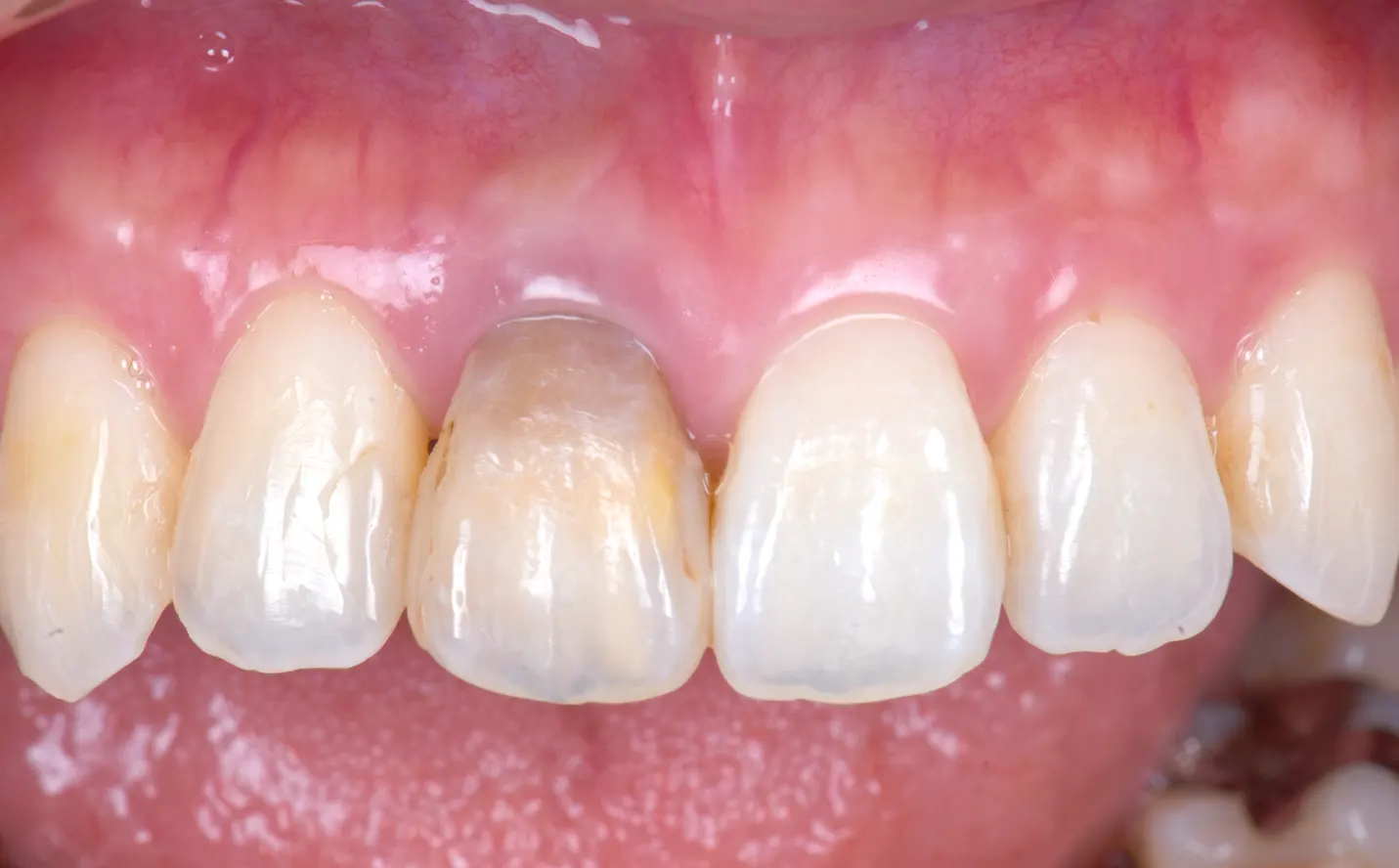
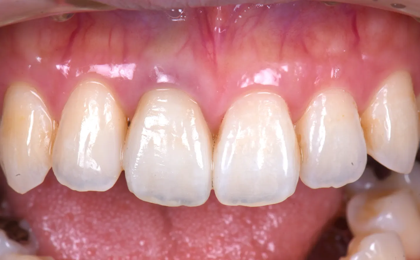
【症例1】


主訴
黒くなってしまった前歯を治したい
年齢・性別
30代女性
治療内容
右上1に対して
・ウォーキングブリーチ
・ファイバーポスト
・プロビジョナル
・ジルコニアクラウン
・ウォーキングブリーチ
・ファイバーポスト
・プロビジョナル
・ジルコニアクラウン
期間
3ヶ月
費用
181,500円